天龙八部sf提示右肺的占位性病變可能是罪魁禍首這是肺癌常見的并發癥之一
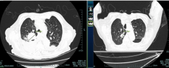
天龙八部sf2025-08-11天龙八部sf誰也想不到,兩年前她還因腫瘤導致呼吸困難多次急診入院。現在,在個性化醫治和達觀心態的支撐下,這位1928年8月12日出世的白叟即將在病房迎來97歲生日。 2023年9月,李奶奶突發胸...

天龙八部sf誰也想不到,兩年前她還因腫瘤導致呼吸困難多次急診入院。現在,在個性化醫治和達觀心態的支撐下,這位1928年8月12日出世的白叟即將在病房迎來97歲生日。 2023年9月,李奶奶突發胸...

天龙八部sf肺癌雖然都是惡性的,但依據病理類型和基因突變類型不同,惡性的程度也會有所不同,有些類型前期手術之后復發率也很高,有些徹底搬運的非常快,我們來看看有哪些? 1、小細胞...

天龙八部sf近年來,肺癌的發病率和死亡率繼續走高,目前,肺癌是城鎮人口發病率最高的癌腫,農村人口則占到第二位,盡管CT體檢得到了廣泛應用,但仍然有很多的肺癌患者直到開展成晚期采...

天龙八部sf精準早篩是要害。呼吸科副主任醫師張巖巍一針見血地說:對抗肺癌,早篩是最好武器!他深入淺出地講解了肺癌高危人群的精準評估與肺結節的鑒別要點,著重低劑量螺旋CT篩查是發...